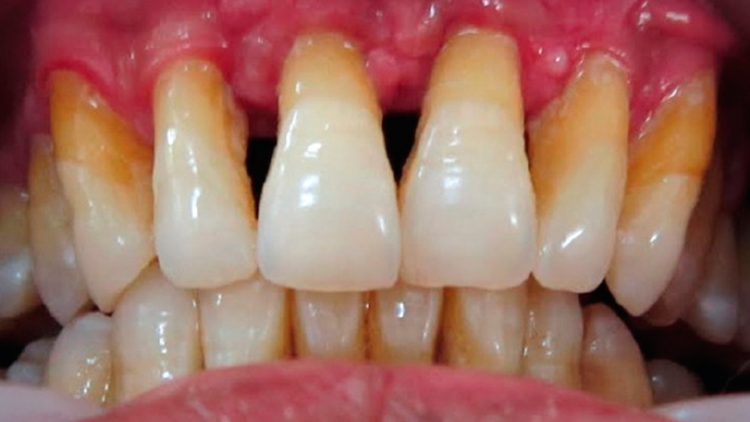
La recesión gingival, también conocida como retracción de encías, es el desplazamiento del margen de la encía hacia la raíz del diente, exponiendo esta última.
Esta condición puede causar sensibilidad dental, caries radicular y un aspecto antiestético.
Causas:
-
-
Cepillado dental agresivo:
Utilizar un cepillo de dientes con cerdas duras o aplicar demasiada presión al cepillar puede dañar las encías y provocar su retracción.
-
Enfermedad periodontal:
La gingivitis y la periodontitis son infecciones bacterianas que pueden causar inflamación y destrucción del tejido gingival, incluyendo la recesión.
-
-
Maloclusión:
La mala alineación de los dientes puede generar fuerzas excesivas sobre las encías, causando su retracción.
-
Frenillos:
Frenillos labiales o linguales con inserciones bajas pueden tirar de las encías y provocar recesión.
-
Factores genéticos:La predisposición genética puede influir en la susceptibilidad a la recesión gingival.
-
Piercings orales:
Los piercings en labios o lengua pueden irritar y lesionar las encías, contribuyendo a su retracción.
-
Tabaco:
Fumar puede afectar negativamente la salud de las encías, aumentando el riesgo de recesión.
Tratamiento:
El tratamiento de la recesión gingival dependerá de la causa y la gravedad de la misma.
-
Higiene bucal adecuada:
Cepillado suave con un cepillo de cerdas suaves y uso de hilo dental son fundamentales para prevenir y controlar la recesión.
-
Tratamiento periodontal:
En casos de enfermedad periodontal, el tratamiento puede incluir raspado y alisado radicular para eliminar el sarro y las bacterias que causan la inflamación.
-
Injertos de encía:
En casos de recesión severa, se pueden realizar injertos de encía para cubrir las raíces expuestas y proteger los dientes.
-
Ortodoncia:
Si la maloclusión es la causa de la recesión, se puede considerar la ortodoncia para corregir la posición de los dientes y reducir la presión sobre las encías.
-
Eliminación de factores desencadenantes:
Si la recesión es causada por piercings o hábitos como morderse las uñas, es importante eliminarlos para evitar la progresión de la recesión.
Prevención:
-
Cepillado suave con un cepillo de cerdas suaves.
-
Uso de hilo dental diariamente.
-
Visitas regulares al dentista para revisiones y limpiezas.
-
Evitar el tabaco y piercings orales.
-
Si se tiene ortodoncia, seguir las indicaciones del ortodoncista para evitar problemas de encías.





