La tracción ortodóntica es un tratamiento que utiliza fuerzas suaves y continuas para mover los dientes a su posición correcta dentro de la boca.
Se aplica a dientes que están retenidos, impactados o que no han erupcionado adecuadamente. El tratamiento puede implicar cirugía para exponer el diente y luego el uso de aparatos ortodónticos, como brackets y alambres, para guiar el diente hacia su lugar en la arcada dental.
¿En qué consiste?
-
1. Exposición quirúrgica:
En muchos casos, un diente incluido o retenido necesita ser expuesto quirúrgicamente para que pueda ser traccionado.
-
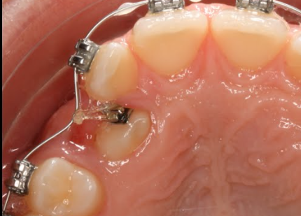
2. Colocación de aditamentos:
Una vez expuesto, se adhiere un pequeño aditamento (como un botón o una cadena) al diente, que servirá como punto de anclaje para la tracción.
-
3. Tracción ortodóntica:
Se utilizan aparatos ortodónticos, como brackets y alambres, para aplicar una fuerza gradual al diente, moviéndolo lentamente hacia su posición correcta en la arcada.
-
4. Alineamiento y nivelación:
Una vez que el diente ha sido posicionado, se realiza el alineamiento y nivelación de toda la arcada dental para lograr una correcta oclusión.
Tipos de tracción:
-
Tracción intramucosa (o submucosa):
El aditamento y el aparato de tracción se colocan debajo de la mucosa, de forma que el diente erupcione de manera cerrada.
-
Tracción extramucosa:
El diente se expone completamente y el aditamento se fija a él, permitiendo que el diente erupcione con mayor facilidad.
Factores a considerar:
-
Tiempo de tratamiento:
La duración de la tracción ortodóntica puede variar según la complejidad del caso, pero generalmente puede tomar varios meses.
-
Factores de crecimiento:
El crecimiento y desarrollo de la raíz del diente son importantes para determinar la mejor opción de tratamiento.
-
Técnica de fijación:
Existen diferentes métodos para fijar el aditamento al diente, como la perforación de la corona, ligaduras de alambre, o la unión directa del soporte.





